Demystifying Dysplasia- Histology dataset
Figure 1a
Click To View
Normal hard palate WSI
Figure 2c
Click To View
Normal soft palate WSI
Figure 3
Figure 3a/3b
(thumbnail indicating region of interest- please see WSI below)
Ellipse: Area of scaring from previous biopsy.
·
Download
Figure 3d/3e
(thumbnail indicating region of interest- please see WSI below)
Circle: A sub-geminal neurogenous plaque at the centre of a fungiform papillae. Arrow: A tastebud, note the disrupted epithelium adjacent the tastebud giving the impression of disordered stratification.
·
Download
Click To View
Figure 3a and 3b WSI- Normal Lip
Click To View
Figure 3d and 3e WSI- Normal posterior tongue
Figure 4
Figure 4a
(thumbnail indicating region of interest- please see WSI below)
Rectangle: This is a good example of disordered stratification. The layers of the epithelium are hard to distinguish at low power.
·
Download
Figure 4b
(thumbnail indicating region of interest- please see WSI below)
Line: Two patterns of dysplasia can be seen side by side here. On one side of the line there is parakeratosis with bulbous elongated rete processes. On the other side of the line there is hyperorthokeratosis with shorter but still somewhat bulbous rete processes. Rectangle: There is generalised premature keratinisation in this case, with eosinophilic keratinising cells in the rete processes.
·
Download
Figure 4c
(thumbnail indicating region of interest- please see WSI below)
Rectangle: There is an abrupt transition between the area of dysplasia and normal epithelium. there are also areas of dysplasia separated by areas of normal epithelium.
·
Download
Figure 4E – same as 6a
(thumbnail indicating region of interest- please see WSI below)
Ellipse: Loss of cellular cohesion can be seen with widening intercellular spaces.
·
Download
Ellipse: Loss of cellular cohesion can be seen with widening intercellular spaces.
·
Download
Figure 4f
(thumbnail indicating region of interest- please see WSI below)
Circle: Oral epithelial dysplasia extending along a minor salivary gland duct.
·
Download
Click To View
Figure 4a WSI- Severe OED with disordered stratification
Click To View
Figure 4b WSI- Severe OED with premature keratinisation
Click To View
Figure 4c WSI- Severe OED with abrupt transition
Click To View
Figure 4f WSI- Extension of OED along salivary duct
Figure 5
Figure 5a
(thumbnail indicating region of interest- please see WSI below)
Rectangle: The epithelium has a verrucous architecture and despite only limited cytological atypia, this architectural pattern is very worrisome.
·
Download
Figure 5e
(thumbnail indicating region of interest- please see WSI below)
Rectangle: In this example there is basal cell nesting, with atypical basal cells budding into the adjacent lamina propria but without evidence of invasion.
·
Download
Figure 5f
(thumbnail indicating region of interest- please see WSI below)
Line: There are two patterns of dysplasia on each side of the line. On one side (more severe) there is highly disordered stratification with basal cell nesting and loss of basal cell polarity. On the opposing side (less severe) there is maintenance of basal cell polarity, though there is hyperchromatism and pleomorphism as well as loss of epithelial cell cohesion.
·
Download
Click To View
Figure 5a WSI- Severe OED with verrucous architecture
Click To View
Figure 5e WSI- Severe OED with basal cell nesting
Click To View
Figure 5f WSI- Severe OED with multiple patterns of dysplasia
Figure 6
Figure 6a
(thumbnail indicating region of interest- please see WSI below)
Figure 6a (1).jpg
70.1 KB
·
Download
Rectangle: Almost all of the cytological features of oral epithelial dysplasia can be seen in this area.
·
Download
Figure 6b
(thumbnail indicating region of interest- please see WSI below)
Arrow: Here an abnormal mitotic figure can be seen. This is due to failure of abnormal segregation of the chromosomes. Ellipse: This is a good example of loss of basal cell polarity. The basal keratinocytes are haphazardly arranged with several nuclei located away from the basement membrane. In the normal epithelium the basal keratinocyte nuclei are normally orientated towards the basement membrane.
·
Download
Figure 6b.jpg
53.1 KB
·
Download
Figure 6c
(thumbnail indicating region of interest- please see WSI below)
Figure 6c (1).jpg
23 KB
·
Download
Arrows: Frequent single cell keratinisation can be seen in this case.
·
Download
Click To View
Figure 6a WSI- Severe OED with cytological features of OED and loss of cellular cohesion
Click To View
Figure 6b WSI- severe abnormal mitotic figure
Click To View
Figure 6c WSI- Severe OED with single cell keratinisation
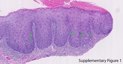
Supplementary Figure 1
Supplementary Figure 1
(thumbnail indicating region of interest- please see WSI below)
Supplementary Figure 1 (1).jpg
45.9 KB
·
Download
Circle: This case has many normal mitoses. Arrows: This case also has many abnormal mitotic figures as well as supra-basal mitoses and mitoses in mature cells.
·
Download
Click To View
Supplementary Figure 1 WSI- Severe OED with abnormal mitotic figures
Supplementary Figure 2
Supplementary figure 2a
(thumbnail indicating region of interest- please see WSI below)
Rectangle: This epithelium shows parakeratosis, full thickness dysplasia and an overall basaloid appearance. Solid arrow: A mitosoid body. They are abundant in this HPV infected epithelium.
·
Download
Solid arrow: A mitosoid body. They are abundant in this HPV infected epithelium. Rectangle: This epithelium shows parakeratosis, full thickness dysplasia and an overall basaloid appearance.
·
Download
Circles: Apoptotic cells are also present in this epithelium.
·
Download
Supplementary figure 2b
(thumbnail indicating region of interest- please see WSI below)
Supplementary Figure 2b (1).jpg
32.9 KB
·
Download
Rectangle: The basaloid keratinocytes in this HPV infected lesion are in contrast to the eosinophilic surface hyperparakeratosis. There is full thickness atypia in this case. Arrows: Multiple mitosoid bodies can be seen throughout the epithelium.
·
Download
Supplementary figure 2c
(thumbnail indicating region of interest- please see WSI below)
Rectangle: There is full thickness atypia with hyperparakeratosis and abundant mitosoid bodies. All typical for HPV associated oral epithelial dysplasia.
·
Download
Click To View
Supplementary Figure 2a WSI- HPV associated dysplasia (example 1)
Click To View
Supplementary Figure 2d WSI- in situ hybridisation for HPV 16 and HPV 18
Click To View
Supplementary Figure 2b WSI- HPV associated dysplasia (example 2)
Click To View
Supplementary Figure 2c WSI- HPV associated dysplasia (example 2)
Supplementary Figure 5
Supplementary figure 5a
(thumbnail indicating region of interest- please see WSI below)
Circle: Some of the rete processes are club shaped, which may mimic the bulbous rete processes of oral epithelial dysplasia. Rectangle: There is hyperparakeratosis, extensive acanthosis and reactive atypia. There is no bulbosity to the rete processes and neutrophils can be seen in the epithelium. There is a predominantly plasmocytic infiltrate int he lamina propria.
·
Download
Supplementary figure 5b
(thumbnail indicating region of interest- please see WSI below)
Rectangle: Though the atypia seen is likely reactive to the candida present, the degree is concerning. This is an example of a case where a further biopsy may be warranted if the lesion fails to resolve after anti-fungal therapy.
·
Download
Supplementary figure 5c
(thumbnail indicating region of interest- please see WSI below)
Arrow: Fungal hyphae within the superficial epithelium (PAS-D staining).
·
Download
Click To View
Supplementary Figure 5a WSI- Chronic Hyperplastic Candidosis H&E
Click To View
Supplementary Figure 5b WSI- Chronic Hyperplastic Candidosis with atypia
Click To View
Supplementary Figure 5c WSI- Chronic hyperplastic candidosis PAS-D stain
Supplementary Figure 6
Supplementary figure 6a
(thumbnail indicating region of interest- please see WSI below)
Rectangle: The epithelium is hyperparakeratotic, though some of the rete processes are long all narrow with depth or are an even thickness. There is a band like lymphocytic infiltrate in the lamina propria. Circle: There is loss of basal cells and lymphocyte epithelial trophism.
·
Download
Supplementary figure 6b-d
(thumbnail indicating region of interest- please see WSI below)
Large rectangle: Here there is generalised premature keratinisation and single cell keratinisation. Small rectangle: Despite features of a lichenoid tissue reaction, features of oral epithelial dysplasia are also seen including bulbous rete processes, loss of basal cell polarity and pleomorphism.
·
Download
Click To View
Supplementary Figure 6a WSI- Oral Lichen Planus
Click To View
Supplementary Figure 6b to 6d WSI- OED with lichenoid infiltrate
Supplementary Figure 7
Supplemental Figure 7
(thumbnail indicating region of interest- please see WSI below)
Large rectangle: The ulcerated area comprises a fibrino-purulent slough and granulation tissue with loss of the epithelium. Ellipse: The epithelium adjacent to the ulcer shows reactive atypia. Small rectangle: There is less atypia in the epithelium more distant to the ulcer.
·
Download
Click To View
Supplementary Figure 7 WSI- Non-specific ulcer
Supplementary Figure 8
Supplemental Figure 8
(thumbnail indicating region of interest- please see WSI below)
Circle: There is ulceration centrally, formed of a fibrinopurulent slough on the surface covering granulation tissue. Rectangle: Despite being far from the ulcer, the epithelium still shows significant atypia, including disordered stratification, cellular and nuclear pleomorphism and loss of basal cell polarity amongst many other features of dysplasia.
·
Download
Click To View
Supplementary Figure 8 WSI- Severe OED with ulcer
Supplementary Figure 9
Supplementary figure 9a/c
(thumbnail indicating region of interest- please see WSI below)
Arrows: Vacuolation of keratinocytes in the prickle cell layer. Ellipse: The epithelium is thickened with elongated but not bulbous rete processes. There is also a lack of cellular or nuclear pleomorphism, hyperchromatism or disordered stratification. Rectangle: Thick hyperparakeratosis.
·
Download
Arrows: Vacuolation of keratinocytes in the prickle cell layer. Ellipse: The epithelium is thickened with elongated but not bulbous rete processes. There is also a lack of cellular or nuclear pleomorphism, hyperchromatism or disordered stratification. Rectangle: Thick hyperparakeratosis.
·
Download
Supplementary figure 9b/d
(thumbnail indicating region of interest- please see WSI below)
Ellipse: As well as the hyperkeratosis and hyperplasia seen in this case, there is cellular and nuclear pleomorphism as well as hyperchromatism of the basal and para-basal keratinocytes.
·
Download
Click To View
Supplementary Figure 9a and 9c WSI- Hyperkeratosis and epithelial hyperplasia
Click To View
Supplementary Figure 9b and 9d WSI- Mild OED
Supplementary Figure 10
Supplementary figure 10a
(thumbnail indicating region of interest- please see WSI below)
Rectangle: Thick hyperparakeratosis containing fungal hyphae. Ellipse: Vacuolated 'balloon cell' keratinocytes in the granular cell and prickle cell layers.
·
Download
Rectangle: Thick hyperparakeratosis containing fungal hyphae. Ellipse: Vacuolated 'balloon cell' keratinocytes in the granular cell and prickle cell layers.
·
Download
Supplementary figure 10b
(thumbnail indicating region of interest- please see WSI below)
Circle: Abundant fungal hyphae are present in the superficial epithelium.
·
Download
Supplementary figure 10c
(thumbnail indicating region of interest- please see WSI below)
Circle: Positive nuclear staining with EBER in-situ hybridisation.
·
Download
Click To View
Supplementary Figure 10a WSI- Oral hairy leukoplakia H&E
Click To View
Supplementary Figure 10b WSI- Oral hairy leukoplakia PAS-D
Click To View
Supplementary Figure 10c WSI- Oral hairy leukoplakia EBER ISH
Supplementary Figure 11
Supplementary Figure 11
(thumbnail indicating region of interest- please see WSI below)
Ellipse: A collection of koilocytes in the superficial epithelium. See WSI.
·
Download
Click To View
Supplementary Figure 11 WSI- Multifocal epithelial hyperplasia
Supplementary Figure 3
Supplementary Figure 3a
(thumbnail indicating region of interest- please see WSI below)
Ellipse: There is abnormal orthokeratinisation with an abrupt transition from the adjacent normal mucosa. Epithelial atophic can also be seen.
·
Download
Supplementary Figure 3b
(thumbnail indicating region of interest- please see WSI below)
Ellipse: There is abnormal orthokeratinisation with an abrupt transition from the adjacent normal mucosa. Cytological atypia can also be seen.
·
Download
Click To View
Supplementary Figure 3b WSI- Differentiated dysplasia 02
Click To View
Supplementary Figure 3a WSI- Differentiated dysplasia
Supplementary Figure 4
Supplementary Figure 4c
(thumbnail indicating region of interest- please see WSI below)
Ellipse: There is a verrucous surface architecturer with an abrupt transition from the adjacent normal epithelium. No cytological atypia is seen. A focal lichenoid infiltrate is also observed.
·
Download
Supplementary Figure 4d
(thumbnail indicating region of interest- please see WSI below)
Ellipse: There is a verrucous morphology with elongated, rounded and pushing rete processes. Focal evidence of atypia is seen.
·
Download
Click To View
Supplementary Figure 4c WSI- Verrucous Hyperplasia with surface changes only
Click To View
Supplementary Figure 4d WSI- Verrucous Hyperplasia with dysplasia (altered epithelial proliferation/morphology)